«Қайран менің өз үйім»: қазақтың арманы неге қымбаттап барады?
RU KZ
476.81
528.4
5.21

Бізбен байланыс

Мекен-жай
КР, г.Астана, ул.Әбікен Бектұров, 4/3
Телефон
+7 702 6094955
Email
aktan.yeltay@gmail.com
WhatsApp
+7 702 6094955

Біздің әлеуметтік желілер

Қытайлық дәрігерлер коронавирустан көз жұмған науқастың денесін сойып, нәтижесін жария етті - Қазақстан жаңалықтары

Қытайлық дәрігерлер коронавирустан көз жұмған науқастың денесін сойып, нәтижесін жария етті - Қазақстан жаңалықтары

Қытайлық дәрігерлер коронавирустан көз жұмған науқастың денесін сойып, соған қатысты жасалған есепті жария еткен. Аупопсия нәтижелері Journal of Forensic Medicine журналында жарияланған екен. Бұл туралы РИА Новости хабарайды. 

Патологиялық зерттеу көрсеткендей, COVID-19 вирусы ең алдымен адамның өкпесіне әсер етеді. Вирустың басқа мүшелерге әсер ететіндігі әлі дәлелденбеген.

Денесін сарапшылар тексерген науқас 1 қаңтарда ауруханаға бірнеше бас ми инфарктімен түсті. Бұл Ухань қаласының 85 жастағы тұрғыны еді.

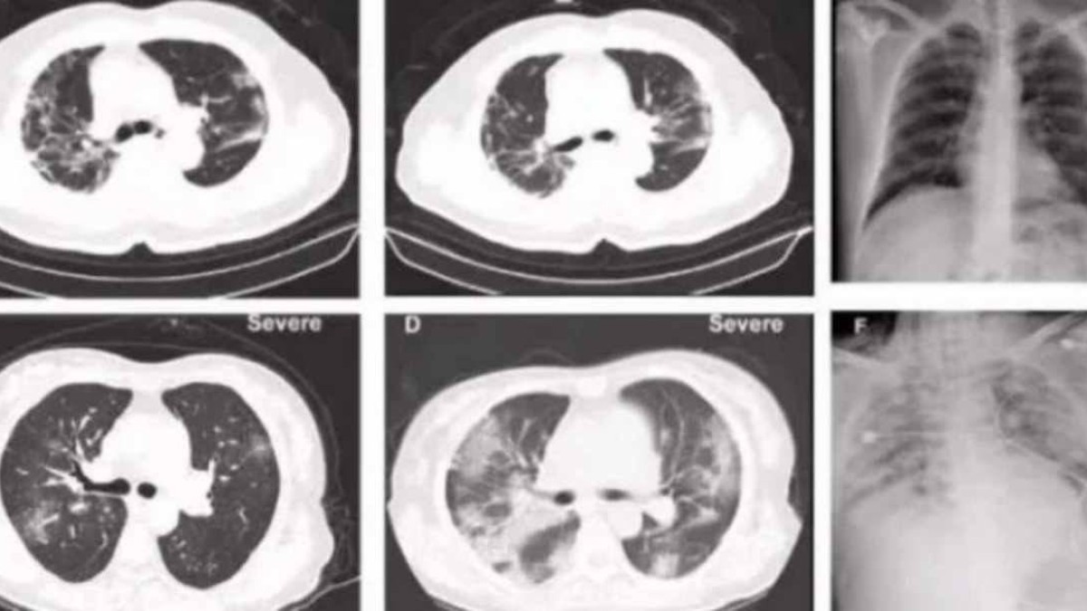
Ауруханаға жеткізілгенде науқастың қызу, жөтел және басқа да вирус белгілері байқалмаған. Ауруханаға түскеннен кейінгі 10- күні науқастың тамағында қышу пайда болып қызуы көтерілген. Компьютерлік томографиядан оны4 екі өкпеcінде инфекция бар екені көрінді.

Ауруханаға жатқызылғаннан кейінгі 13-ші күні науқастың коронавирустық нуклеин қышқылының жаңа түріне жүргізілген анализі оң нәтиже беріп, науқасқа COVID-19 диагнозы қойылды.

 20-күні өкпеге жасалған томографияда инфекция одан әрі таралып жатқаны көрінген. 28-ші күні науқас көз жұмып, оған «коронавирустың жаңа түрінен туындаған пневмония, тыныс алу жеткіліксіздігі» деген диагноз қойылған.

Аутопсия Ухан ауруханасында науқас көз жұмғанан кейін 12 сағаттан соң жүргізілді.

«Зерттеу нәтижелері көрсеткендей,  бұл тыныс алу жолдарының және өкпе альвеолаларының терең бөліктерінің зақымдануы, бұл коронавирустың жаңа түрінен туындаған пневмония. Марқұмнан ертерек алынған анализде COVID-2019 патологиялық процесі SARS-ке ( SARS - бұл жіті респираторлық синдром) және MERS-пен (Таяу Шығыс тыныс алу синдромы)өте ұқсас екенін көрсетті, алайда COVID-2019-да өкпе фиброзы SARS-қа қарағанда ауыр емес », - делінген хабарламада.

Вирус басқа ішкі мүшелерге, мысалы бүйрекке, бауырға әсер ете ме, жоқ па, сарапшылар айта алмай жатқан көрінеді. Мұның себебі көз жұмған ер адам егде тартқан және оның басқа да органдары ауырған сондықтан бұл мәселені нақтылау үшін қосымша зерттеу қажет.

Аутопсияны Тунцзи Лю Лян, университеттің сот медицинасы кафедрасының профессоры, 30 жылдық тәжірибесі бар патолог-дәрігер басқарды.

Мамандардың пікірінше, жаңа коронавирус патологиясын зерттеу аурудың механизмдерін, оның патогенезі мен қауіптілігі үшін, сонымен қатар басқа науқастарды емдеу үшін өте маңызды.

«Біз «дұшпанның» қай жерде екенін, оның «қаруы» не екенін, күшін білмейміз. Патологиялық анатомия мен кейінгі зерттеулердің арқасында вирустың адам ағзасына таралуын микроскоптың көмегімен байқауға болады. Қандай мүшелер, ұлпалар мен жасушалар ең көп зардап шеккенін, «жаудың» әлсіздігі не екенін түсінуге болады. Компьютерлік томографиясы науқастың өкпесінде өзгеріс белгілерінің пайда болуын көрсетті », - дейді дәрігер Лю Лян.


stan.kz
Автор
Данияр