KZNews.kz
Шоу-бизнес

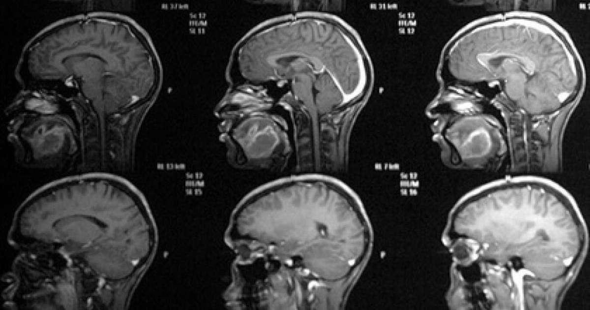
Онколог ми қатерлі ісігінің алғашқы белгілерін атады

KZNEWS

Дәрігер-онколог Михаил Мяснянкин пациент қандай жағдайда шұғыл түрде медициналық көмекке жүгіну керектігін айтты.

Дәрігер түсіндіргендей, ми қатерлі ісігі бірнеше типке ие болуы мүмкін: біріншілік - тікелей ми тіндерінде дамиды, сонымен қатар екінші реттік, бұл басқа органнан шыққан ісіктің метастазасы. Сонымен бірге ауруды ерте сатысында тану қиынға соғады. Негізі ол жалпы асимптоматикалық түрде дамиды.

"Ми ісігінің ең көп таралған симптомы - бас ауруы. Вестибулярлық функцияға жауапты органдар зақымданған кезде дұрыс сөйлей алмай қалады, сөйлеген кезінде сөз тіркестері мен әріптер түсіп қалуы мүмкін », - деп түсіндірді Мяснянкин Бесінші арнаға берген сұхбатында .

Мұндай белгілер пайда болған кезде пациент шұғыл түрде дәрігермен кеңесу керек екендігі атап өтіледі. Сондай-ақ, тез шаршағыштық, бас айналу, жүрек айну, естен тану, конвульсия, көру және есту қабілеттері бұзылған кезде назар аудару керек.
KZNEWS
Автордың басқа материалдары