KZNews.kz
Шоу-бизнес

Коронавирус жұқтырғандардың өкпелерінің суреті жұртты шошытты - Қазақстан жаңалықтары

Нұрсұлтан

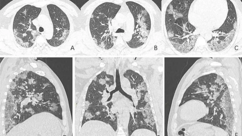
Коронавирустан көз жұмған қытайлық азаматтардың рентген суреттері арқылы мамандар аурудың өкпеге қалай әсер ететіндігін көрсетті, деп хабарлайды Stan.kz ақпарат агенттігі. 

44 жастағы Қытай тұрғынының өкпесіне жасалған рентген мен компьютерлік томографияның суреттері оның ағзасында қандай өзгерістер болғандығын көрсеткен. Дәрігерлердің айтуларынша, коронавирусқа шалдыққандардың өкпесі рентген суреттері ЖРВИ мен MERS жұқтырғандардікіне ұқсайтынын аңғартқан. 

Мамандар көз жұмған азаматтың Уханьда балық базарында саудагер болып жұмыс істегенін айтады. Суреттерде азаматтың өкпесінің төменгі жағында ірі-ірі қара дақтар байқалады. Бұған қоса өкпеде әлдебір сұйықтықтың бар екендігі расталыпты. Солтүстік Американың радиологиялық қауымдастығы таратқан суреттерде әлгі сұйықтықтың уақыт өте келе көлемі ұлғайғаны аңғарылады. 

Індетке тап болған азамат 25 желтоқсанда карантинге жатқызылып емделсе де, бір апта болмай жатып көз жұмыпты. 

54 жастағы Уханьда коронавирус жұқтырған әйелдің өкпесінде де дәл осындай өзгерістер байқалыпты. 

Ал ауруға шалдыққан 45 жастағы азаматшаның өкпесінде ақ дақтар пайда болған. 

Еске салайық, қазіргі таңда әлем бойынша індетке тап болғандардың саны 112 мыңға, олардың 4500-ы аурудан көз жұмыпты. 

Бұған дейін қытайлық дәрігерлер сырқаттан көз жұмған 85 жастағы қарияның өкпесінің суретін көрсеткен еді. 

 

 


stan.kz
Нұрсұлтан
Журналист
Автордың басқа материалдары →