KZNews.kz
Шоу-бизнес

Ақтауда 12 жастағы қыздың асқазанынан бір уыс шаш, қаламсап пен скотч шықты - Қазақстан жаңалықтары

Санжар
[ad_1]

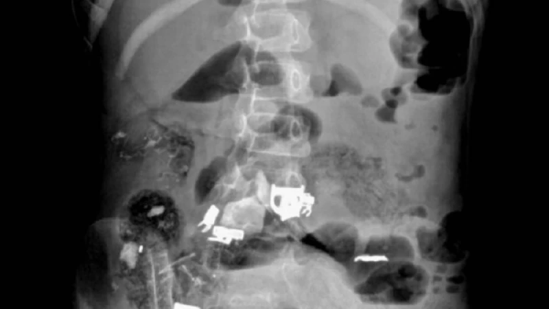
Ақтауда облыстық аурухана хирургтері 12 жастағы қыздың асқазанынан бір уыс шаш, қалам мен жабыстырғыш скотч алып шықты.

Маңғыстау облыстық денсаулық сақтау басқармасының мәліметінше, қыз бала сал ауруына шалдыққан. Психикалық ауытқушылығы бар.

«Дәрігерлердің дер кезінде ота жасағанының көмегімен қыздың асқазаны тазартылды. Қажетсіз темір, қалам, скот, бір уыс шаш алынды», - дейді облыстық денсаулық сақтау басқармасының баспасөз қызметі.

Жеткіншектің денсаулығына қауіп төніп тұрған жоқ. Жағдайы қалыпты.

Stan.kz сайтын Telegram арқылы оқыңыз. Арнамызға жазылыңыз.


stan.kz
Санжар
Журналист
Автордың басқа материалдары →