Отадан соң ешқандай ауыртпалық болмаған. Баланың денсаулығы қанағаттанарлық жағдайда.
Ақпан айында Маңғыстау облысында қыз баланың ішегінен бөтен заттар табылған, деп хабарлайды Zakon.kz облыстың Денсаулық сақтау басқармасының баспасөз қызметіне сілтеме жасап.
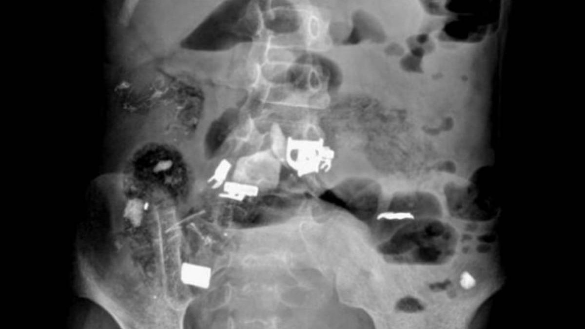
"Ақпан айында облыстық балалар ауруханасында Жаңөзен қаласында тұратын 12 жасар мүгедек балаға шұғыл түрде ота жасалды. Бұл бала (12 жастағы қыз бала) ауруханаға іштің түйіліп ауруы және өте көп мөлшерде құсу шағымымен түсті. Құрсақ қуысы органдарын рентгенге түсіру нәтижесінде, баланың ішінде бөтен заттардың жатқандығы анықталды", - делінген хабарламада.
Дәрігерлердің жедел іс-әрекетінің арқасында, ота барысында қыз баланың ішегінен бөтен заттар (темір, қалам, скотч, шаш) шығарылды.
Отадан соң ешқандай ауыртпалық болмаған. Баланың денсаулығы қанағаттанарлық жағдайда.

Telegram арнасындағы маңызды жаңалықтар «zakon.kz». Жазылу!
[ad_2]
Zakon.kz