Қазақстанның облыс әкімдерінің рейтингі жарияланды: көш басында кім тұр?
RU KZ
476.81
528.4
5.21

Бізбен байланыс

Мекен-жай
КР, г.Астана, ул.Әбікен Бектұров, 4/3
Телефон
+7 702 6094955
Email
aktan.yeltay@gmail.com
WhatsApp
+7 702 6094955

Біздің әлеуметтік желілер

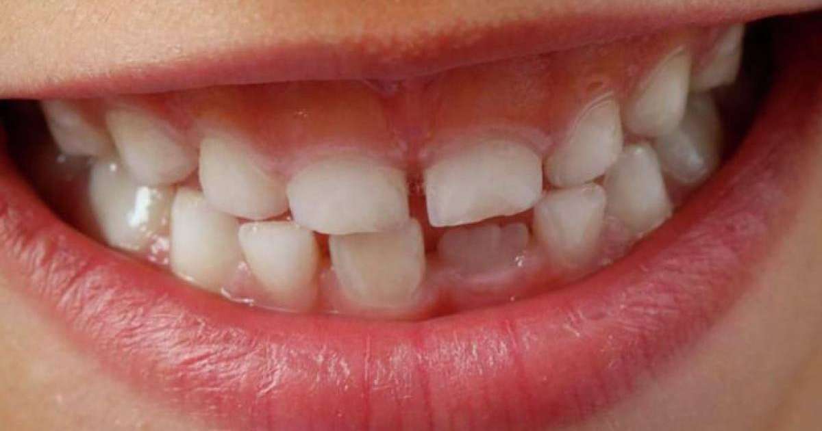
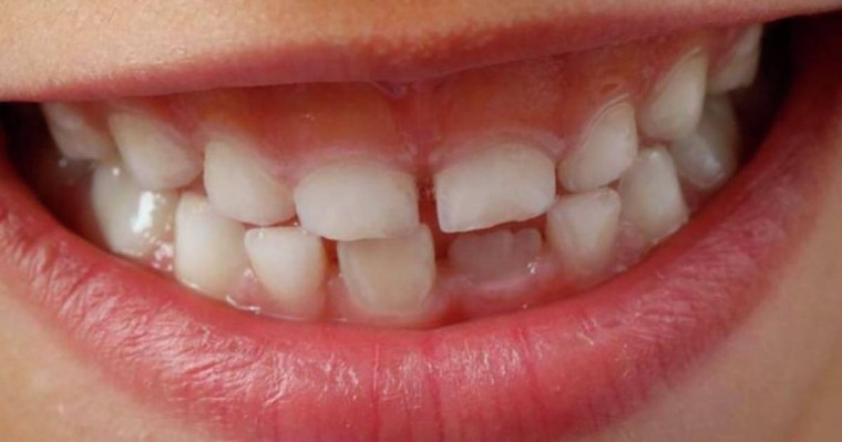
Дәрігерлер баланың 526 тісін жұлып тастады – видео

Дәрігерлер баланың 526 тісін жұлып тастады – видео

Әлемде

Қысқа сілтеме алу

1 0 0

Баланың аузында қалдық тістер пайда болып, ісік бірнеше жыл дамыған

НҰР-СҰЛТАН, 2 шілде — Sputnik. Үндістанда 7 жастағы балаға шамадан тыс көп тіс шыққан, деп жазды The Times of India басылымы.

Равиндрананың ата-анасы баласының беті ісіп кеткенін байқағанына біраз уақыт болған. Бірақ олар ұлын дәрігерге бірден қарата алмаған.

Бала 7 жасқа толған кезде иегінің төменгі бөлігі қатты ауратынын айтады. Дәрігерлер баланың ісігін компьютерлік томографияға түсірген. Рентген баланың иегінде ісік бар екенін, оның ішінде жүзден астам тіс пайда болғанын көрсетіпті.

Тағы оқыңыз: Дәрігерлер қыздың мұрнындағы тісті алып тастады 

Хирургтер сәтті операция жасап, ісікті қалдық тістерімен бірге алып тастады. Дәрігерлер 526 тіс жұлған. Медицина қызметкерлері баланың иегі мен сау тістерін аман алып қалған.

Тістер жиналған ісік медицинада "құрама одонтома" деп аталады, мұндай жағдай өте сирек кездеседі.

Сонымен қатар дәрігерлер ісіктің неден пайда болғанын нақты айта алмай отыр. Олардың болжамынша, ұялы байланыс бағанасынан тарайтын сәуленің әсерінен немесе генетикалық ауытқудан болуы мүмкін.

Соңғы рет мұндай жағдай Үндістанда 2014 жылы болған. Онда дәрігерлер пациенттің артық 232 тісін жұлған.


sputniknews.kz
Автор
Мадияр