«Айына миллион табасың»: Англияға жұмысқа жіберемін деген әйел 10 адамды алдап кетті
RU KZ

Бізбен байланыс

Мекен-жай
КР, г.Астана, ул.Әбікен Бектұров, 4/3
Телефон
+7 701 933 8520
Email
aktan.yeltay@gmail.com
WhatsApp
+7 701 933 8520

Біздің әлеуметтік желілер

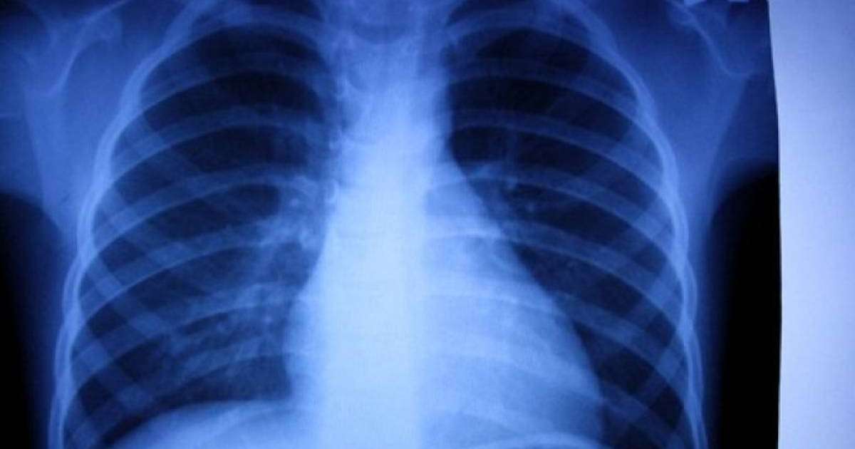
Астанадағы туберкулезге ұшырағандардың көбісі жалға пәтер алып тұратындар

Астанадағы туберкулезге ұшырағандардың көбісі жалға пәтер алып тұратындар

Жыл сайынғы тексеру анықтағандай 10 мың адамның ішінде 7-9-нан туберкулезге шалдығу жағдайы анықталады.

Астана бойынша туберкулез ауруының өткен жылғы жағдайы туралы Қоғамдық денсаулық сақтау басқармасының басшысы Қамалжан Нәдіров мәлімдеме жасады, деп хабарлайды Елорда Инфо.

"Былтырғы жылы туберкулез ауруына шалдыққандардың 67% экономикалық белсенді жастағылар болып шықты. Оның ішінде ауру жұқтырғандардың әрбір бесіншісі Астанаға өткен жылы келгендер, сондай-ақ, әрбір екіншісінің тұрақты жұмысы жоқ және әрбір төртіншісінің табысы өмір сүру деңгейінің минимум көрсеткішін көрсетеді. Сонымен қатар, олардың жартысынан көбісінің жеке баспаналары жоқ, яғни жалдамалы үйде тұрады", - деді ол.

Осылайша, туберкулезбен ауыратындардың 76,6%-ның тұрмыстық жағдайының төмен екендігі анықталды. Флюро тексерудің нәтижесі бойынша, аталған топтағылар арасында туберкулез қаупінің жоғарылығы байқалып отыр.

"Жыл сайынғы тексеру анықтағандай 10 мың адамның ішінде 7-9-нан туберкулезге шалдығу жағдайы анықталады. Ал қауіпті топтағылар арасында 10 мың адамның ішінде 27 жағдай расталып, ол 2017 жылмен салыстырғанда 2018 жылы туберкулезге ұшырау 2,3 есеге артып отыр. Өткен жылдың қорытындысына келсек, туберкулез бойынша тексерілген қауіпті топтардың ішінде мың адамға шаққанда 19,8%-ы - бұрын сотталғандар, 17,6% - қаңғыбастар, 4,9% АИТВ ауруына шалдыққандар болып шықты. Сол сияқты ішімдікті жиі қолданатын жандар арасында да туберкулез қауіпі жоғары", - дейді Қ.Нәдіров.

Одан бөлек, қауіптілігі жоғары топқа жатпайтын жандар арасында, тексерілген мың адамның 0,7-сінен аталған ауру белгісі бар болып шықты.

Айта кетсек, туберкулез қауіптілігі жоғары топқа жататындар: тұрғылықты жері жоқ азаматтар, бостандығынан айрылу мекемесінен шыққандар, АИТВ-мен ауыратындар, алкоголь және есірткі бұйымдарын жиі тұтынатындар, тұрмыс жағдайы төмен жандар және ішкі және сыртқы көші-қон.

"Бұл топтағы адамдарды емдеудегі қиындық - олардың тұрақты мекенінің болмауы және ауруға қарсы тексерілу және емделуге құлқының болмауы негізгі себеп болып отыр", - деді Қоғамдық денсаулық сақтау басқармасының басшысы.

Telegram арнасындағы маңызды жаңалықтар «zakon.kz». Жазылу!


[ad_2]
Zakon.kz
Автор
Мадияр